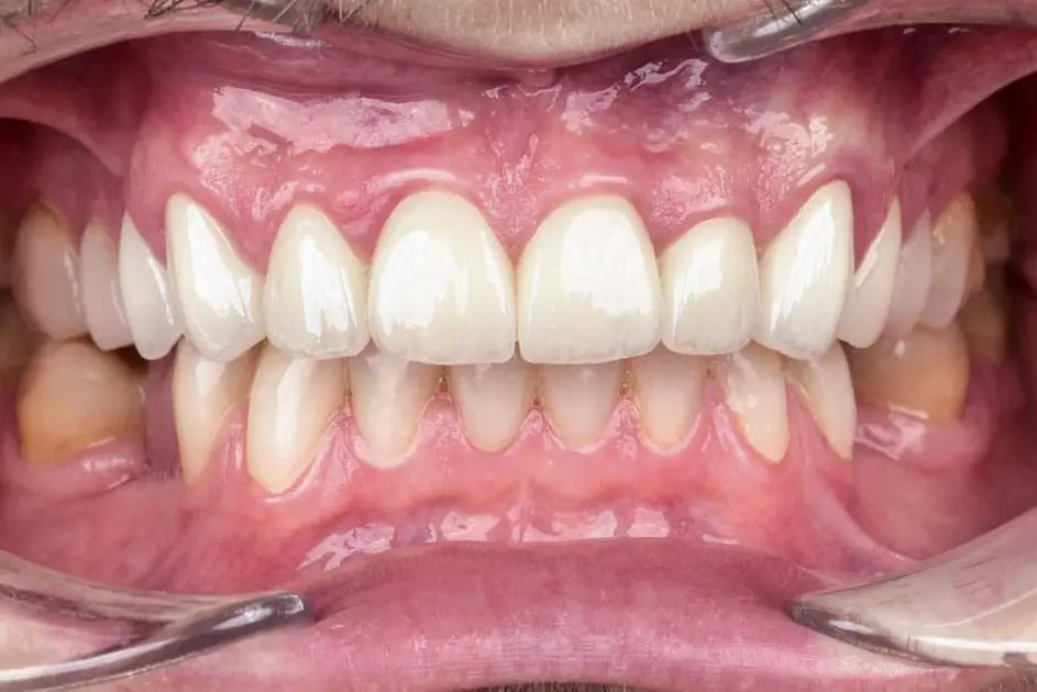
Metamorfozy uśmiechu
Lecząc naszych Pacjentów skupiamy się na wyleczeniu całego organizmu. To zdrowie Pacjenta czyli jego zębów, dziąseł, stawów skroniowo żuchwowych oraz całego ciała jest dla nas najważniejsze. Warto pamiętać, że cały organizm jest połączony!
Ale to nie znaczy, że nie patrzy na ostateczny wygląd uśmiechu Pacjenta, bo przecież chcemy, aby każdy nosił swój nowy uśmiech z dumą! Dlatego dbamy o aspekty estetyczne każdego uśmiechu, skupiając się na indywidualnym dopasowaniu koloru i kształtu zębów do twarzy. Zobacz jakie metamorfozy przeszli nasi Pacjenci!
Metamorfozy uśmiechu naszych Pacjentów
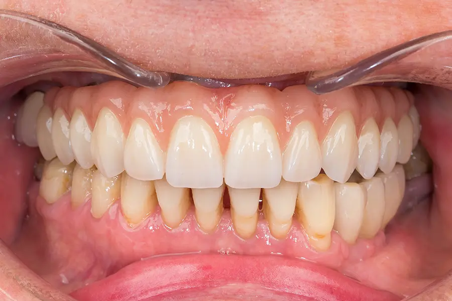
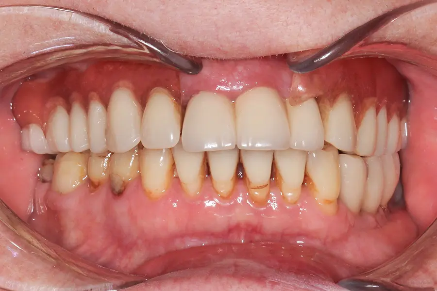
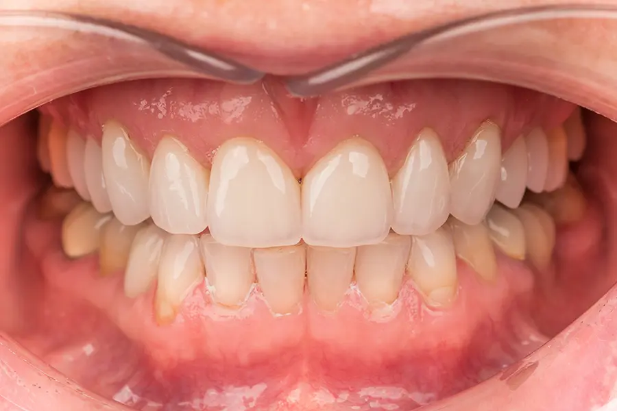
Naturalna korekta kształtu zębów – Flow Injection (Bonding)
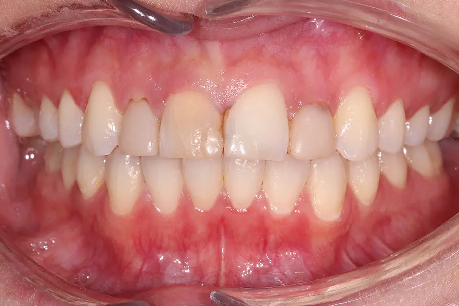
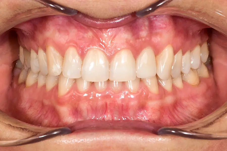
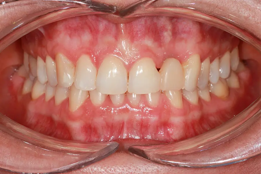
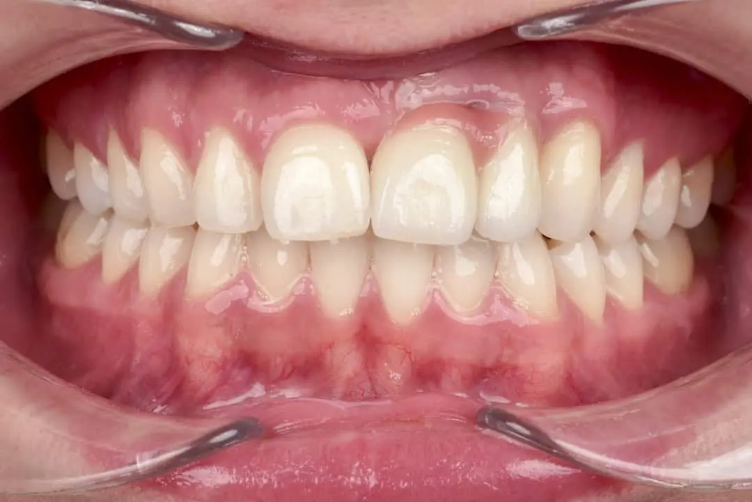
Pacjentka (35 l.) zgłosiła się do nas po pomoc po wcześniejszym leczeniu ortodontycznym w innym gabinecie, ponieważ jej uśmiech nadal wydawał się wąski, a kształt zębów niesatysfakcjonujący. Wykonaliśmy kompleksową diagnostykę, higienizację i wybielanie, leczenie zachowawcze oraz małoinwazyjną odbudowę 8 górnych zębów metodą Flow Injection, uzyskując naturalny, harmonijny i wyraźnie szerszy uśmiech.
Nowy uśmiech – połączenie leczenia zachowawczego i protetyki
Pacjentka (60 l.) zgłosiła się do naszego gabinetu, marząc o pełnym i naturalnie wyglądającym uśmiechu. Kompleksowe leczenie obejmowało diagnostykę, leczenie zachowawcze i endodontyczne, higienizację oraz wybielanie, a następnie odbudowę protetyczną. Zastosowaliśmy mosty cyrkonowe oraz protezę szkieletową na zatrzaskach, przywracając estetykę i pełną funkcję żucia.
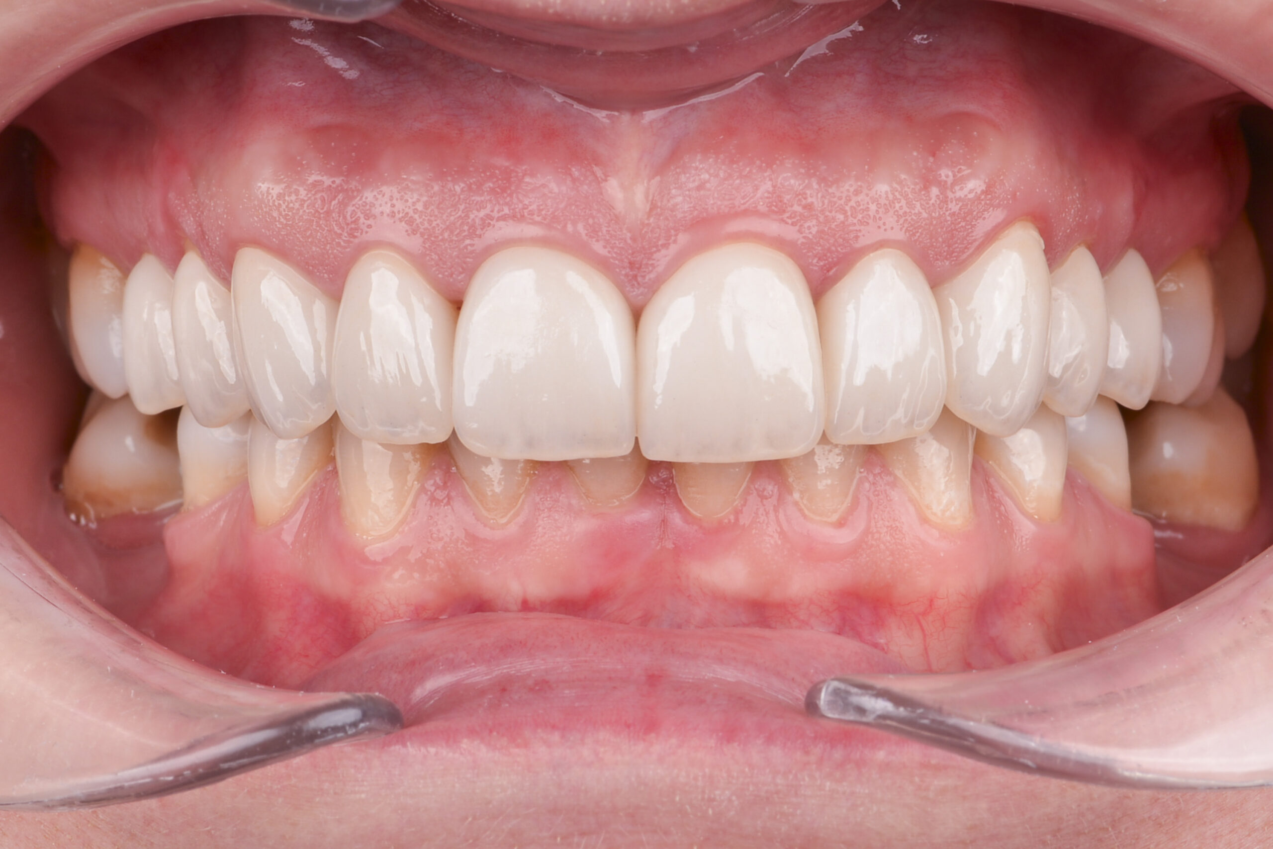
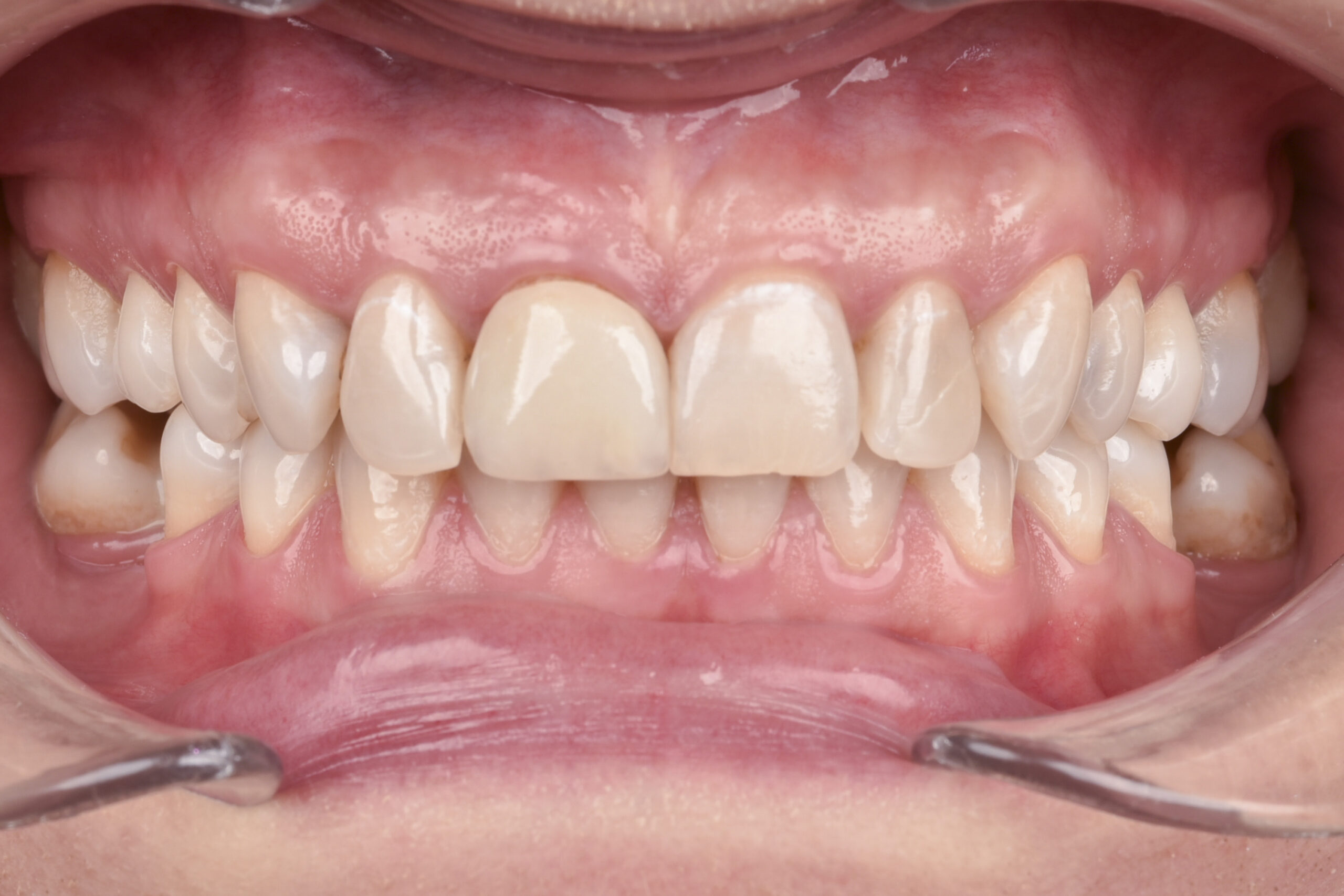
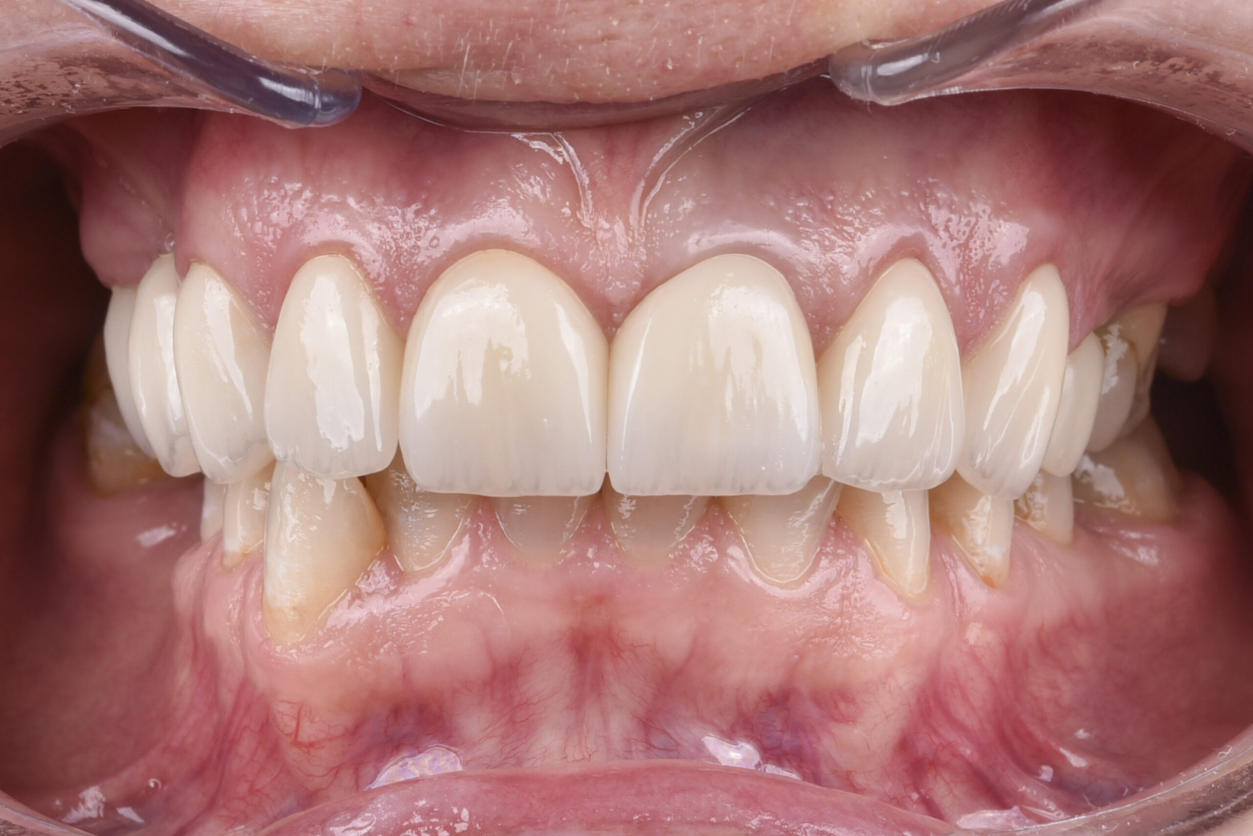
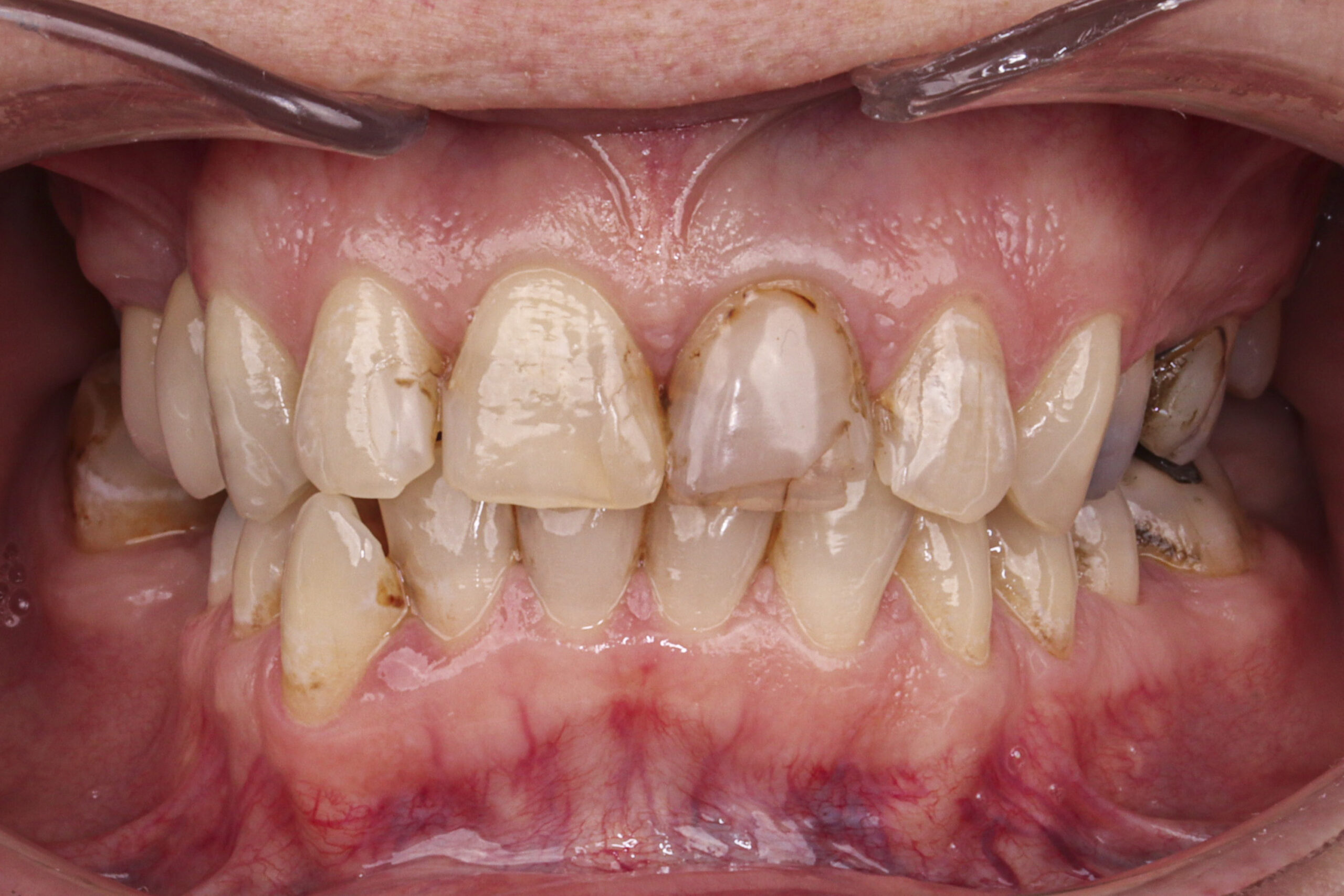
Maksymalny efekt przy minimalnej ingerencji – metamorfoza od „piątki” do „piątki”
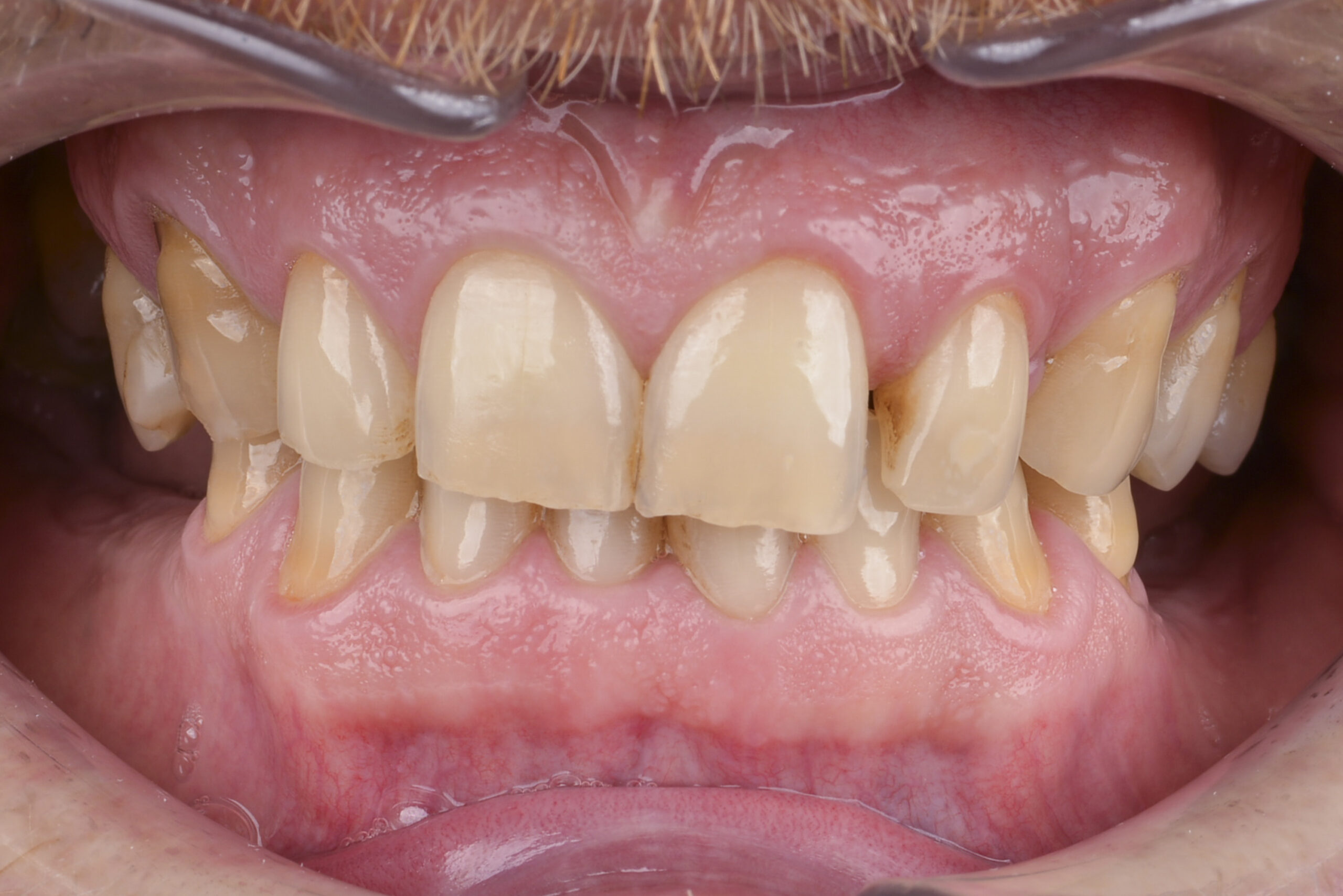
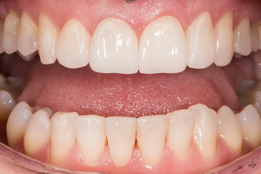
Pacjentka (45 l.) zgłosiła się do naszej kliniki, aby poprawić estetykę górnych siekaczy. Odbudowaliśmy cały odcinek od „piątki” do „piątki”, łącząc 5 pełnoceramicznych koron na zębach osłabionych próchnicą z 5 licówkami na zdrowych zębach. Dzięki temu uzyskaliśmy spójny, harmonijny uśmiech, który wygląda bardzo naturalnie.
Interdyscyplinarne leczenie uśmiechu. Od ortodoncji po estetyczną odbudowę protetyczną
Pacjentka (30 l.) zgłosiła się do nas z chęcią poprawy zgryzu i estetyki uśmiechu. Dzięki połączeniu aparatu stałego, odbudowy kompozytowej i koron pełnoceramicznych wyeliminowaliśmy ścieranie zębów i napięcia mięśni żwaczy. Efekt? Pełna funkcjonalność oraz naturalny, harmonijny uśmiech.
Powrót do pewności siebie – Efekt nowoczesnych, nieinwazyjnych metod
Pacjentka (40 l.) zgłosiła się z marzeniem o zupełnie nowym uśmiechu, który przywróci jej dawną pewność siebie. Nie zdecydowała się na leczenie ortodontyczne ani wszczepienie implantów. Opracowaliśmy indywidualny plan leczenia, oparty na odbudowie własnych zębów i nowoczesnych, nieinwazyjnych metodach, dzięki czemu cel leczenia został jednak w pełni osiągnięty.
Diastema? Korekta metodą Flow Injection (Bonding)
Pacjentka (25 l.) zgłosiła się z pragnieniem zamknięcia diastemy. Po dokładnej analizie ułożenia zębów i zaplanowaniu ich docelowego kształtu, przeprowadziliśmy małoinwazyjną korektę metodą Flow Injection. Dzięki tej technice, bez ingerencji w strukturę szkliwa, udało się przywrócić uśmiechowi harmonijne proporcje.
Przywrócenie pełnego uśmiechu dzięki implantom i koronom
Pacjent (50 l.) zgłosił się do nas z licznymi brakami zębowymi oraz problemami z funkcją żucia. Po wstępnej higienizacji i leczeniu zachowawczym przystąpiliśmy do kompleksowej odbudowy przy użyciu implantów i protetyki cyrkonowej. W górnym łuku osadziliśmy 11 koron, w dolnym 6 licówek i 6 koron dzięki czemu Pacjent odzyskał harmonijny, naturalny, zdrowy uśmiech.
Odbudowa zębów i ochrona przed dalszym ścieraniem
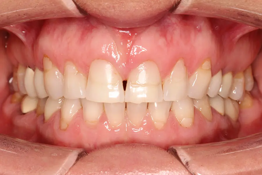
Pacjentka (20 l.) zgłosiła się do nas z problemem postępującego starcia zębów oraz chęcią poprawy estetyki uśmiechu. Przyczyną dolegliwości był bruksizm oraz nawykowe obgryzanie paznokci, którym towarzyszyły napięciowe bóle głowy. Po dokładnej diagnostyce i planowaniu (wax-up) wykonaliśmy wybielanie, a następnie minimalnie inwazyjną odbudowę sześciu górnych zębów przednich metodą Flow Injection. Leczenie uzupełniliśmy o indywidualną szynę relaksacyjną, która chroni efekt odbudowy i zmniejsza dolegliwości bólowe.
Metamorfoza uśmiechu przeprowadzona metodą Flow Injection (Bonding)
Pacjentka (35 l.) trafiła do nas z zamiarem poprawy wyglądu górnych zębów przy jednoczesnym zachowaniu ich naturalnej struktury. Aby uniknąć szlifowania, postawiliśmy na w pełni nieinwazyjną metodę Flow Injection. Po wstępnym wybielaniu zębów systemem Prevdent, wykonaliśmy odbudowę 6 górnych zębów przy użyciu nowoczesnego kompozytu. Dzięki cyfrowemu planowaniu i precyzyjnemu polerowaniu, pani Pacjentka uzyskała wymarzony kształt i blask uśmiechu w ciągu zaledwie kilku wizyt.
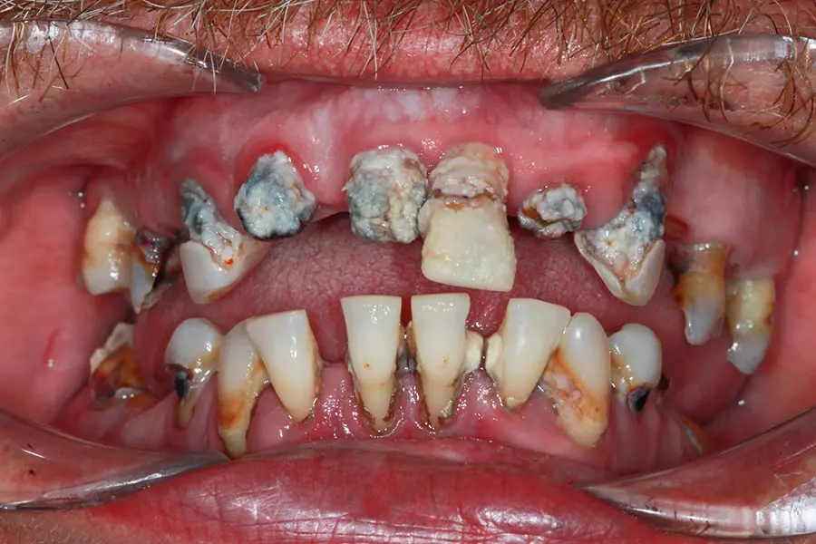
Kompleksowa rekonstrukcja uśmiechu dokonana w 14 miesięcy!
Pacjentka (60 l.) zgłosiła się do nas w celu kompleksowej poprawy stanu uzębienia i wykonania uzupełnień protetycznych. Po procesie przygotowawczym i wszczepieniu 3 implantów, wykonano 25 pełnoceramicznych koron z cerconu w obu łukach zębowych. Wysoka estetyka materiału oraz precyzyjna odbudowa pozwoliły Pacjentce odzyskać pełny, zdrowy uśmiech i nową jakość życia w 14 miesięcy.
Wystarczyło 7 miesięcy do pełnego, zdrowego uśmiechu
Pacjentka (70 l.) zgłosiła się do nas w celu uzupełnienia brakujących dolnych szóstek i poprawy estetyki uśmiechu. Ze względu na ogólny stan zdrowia zamiast implantów zaproponowano odbudowę mostami protetycznymi. Górny łuk wzmocniono 12 koronami pełnoceramicznymi, natomiast w dolnym łuku przednie zęby odbudowano metodą Flow Injection. Braki boczne uzupełniono mostami.
Kompleksowa odbudowa górnego łuku zębowego
Pacjent (40 l.) zgłosił się do nas w celu osadzenia korony na implancie wszczepionym w innym gabinecie. Profesjonalne podejście i przedstawiony plan leczenia zainspirowały go do podjęcia decyzji o kompleksowej odbudowie całego górnego łuku. Po procesie przygotowawczym i wybielaniu metodą Prevdent, wykonano 11 pełnoceramicznych koron z cyrkonu. Wysoka estetyka prac oraz harmonijne połączenie z naturalnymi zębami dolnymi pozwoliły Pacjentowi odzyskać pewność siebie i nowy uśmiech w zaledwie 5 miesięcy.
Spełnione marzenie o idealnym uśmiechu. Metamorfoza górnego łuku koronami porcelanowymi
Pacjentka kilka lat temu zakończyła leczenie ortodontyczne. Jednak uśmiech nie był dla niej w pełni satysfakcjonujący i zgłosiła się do nas. Wykonano dla Pacjentki korony porcelanowe w górnym łuku zębowym. Piękna naturalna biel koron pozwoliły osiągnąć uśmiech o jakim Pacjentka zawsze marzyła.
Koniec z kompleksami! Korony porcelanowe kluczem do wymarzonego uśmiechu
Pacjentka zgłosiła się do nas z problemami estetyki uśmiechu. Po wielu latach kompleksów wynikających z koloru i kształtu zębów, wykonane korony porcelanowe pozwoliły Pacjentce na nowo odkrywać magię pięknego uśmiechu.
Precyzyjna korekta zębów przednich. Jak odmieniliśmy górne i dolne „jedynki”?
Pacjentce zależało na poprawie estetyki górnych i dolnych zębów przednich. Na dolnych zębach wykonano estetyczne odbudowy kompozytowe (bonding). W górnym odcinku przednim wykonane zostały korony pełnoceramiczne, które pozwoliły osiągnąć ten fantastycznie piękny uśmiech.
Pełnoceramiczne korony przywróciły zębom naturalny kształt i kolor
Pacjentka zgłosiła się do gabinetu z powodu niezadowalającego kształtu i koloru zębów w górnym przednim odcinku. U Pacjentki wykonano korony pełnoceramiczne na górne „jedynki i dwójki”. Idealne odwzorowanie naturalnych kolorów i kształtów pozwoliło osiągnąć tzw. efekt WOW.
Bezpieczne wybielanie pod kontrolą specjalisty – naturalny, rozświetlony efekt!
Pacjentka zgłosiła się w celu rozjaśnienia swoich zębów. Po przeprowadzonym badaniu stomatologicznym przez jednego z lekarzy i zakwalifikowaniu do zabiegu wybielania umówiono zabieg. Wybielanie metodą gabinetową zostało przeprowadzone przez naszą higienistkę.
Nowy uśmiech dzięki metodzie DSD – cyfrowemu projektowaniu uśmiechu
U Pacjenta zdiagnozowano bruksizm. Po przeprowadzonej analizie okluzji i wstępnym leczeniu wykonano odbudowy estetyczne na podstawie wcześniej wykonanych projektów DSD. Licówki porcelanowe w odcinku przednim oraz odbudowy kompozytowe w odcinkach tylnych zębów pozwoliły osiągnąć nowy estetyczny i zdrowy uśmiech u Pacjenta.
Odbudowa zęba z użyciem implantu i korony porcelanowej
Podczas badania u Pacjentki stwierdzono pionowe pęknięcie korzenia „górnej dwójki”. Ząb zakwalifikowano do ekstrakcji z natychmiastową implantacją. Na czas gojenia uzupełnienie protetyczne tymczasowe. Po okresie stabilizacji implantu wykonano porcelanową koronę ostateczną.
Kompleksowa odbudowa przedniego odcinka z wykorzystaniem implantów i koron pełnoceramicznych
Pacjent zgłosił się do nas w celu uzupełnienia braków zębowych, z powodu utraty siekaczy. Po przeprowadzonej konsultacji Pacjent skierowany został na konieczne zabiegi higienizacji. W pierwszym etapie leczenia wykonano zabieg augmentacji kości, by następnie wstawić implanty Straumann. Pacjent w trakcie leczenia używał szyny termoformowalnej (most tymczasowy) w celu zamaskowania braków zębowych. Przed osadzeniem koron przeprowadzono zabieg wybielania zębów. Na koniec osadzone zostały pełnoceramiczne korony cerkon na implantach.
Naturalny efekt dzięki licówkom Emax. Trwała i estetyczna odbudowa najwyższej jakości
Podczas rutynowego przeglądu jamy ustnej Pacjentka zapytała o możliwość poprawienia swojego uśmiechu. Na kolejnej wizycie zaplanowano wykonanie zabiegu osadzenia licówek na górnych siekaczach oraz dobrano ich kształt. Po przeprowadzonej higienizacji wykonany został u Pacjentki szlif pod licówki, a następnie nałożono tymczasowe licówki kompozytowe. Podczas ostatniej wizyty przeprowadzono osadzenie ostatecznych licówek Emax, by Pacjentka mogła cieszyć się pięknym uśmiechem.
Leczenie skutków bruksizmu. Nowoczesne rozwiązania w rekonstrukcji zębów
Pacjent zgłosił się do naszej kliniki z powodu problemów z bruksizmem. W trakcie konsultacji zaproponowano Pacjentowi odbudowę protetyczną zębów. W pierwszym etapie leczenia przeprowadzono higienizację. Dalszy proces obejmował wax up, mock up, a następnie założenie kompozytowych koron tymczasowych, po wcześniejszym oszlifowaniu zębów. W międzyczasie wykonane zostało również leczenie zachowawcze i kanałowe. W końcowym etapie leczenia osadzone zostało 8 pełnoceramicznych koron cyrkonowych w górnym łuku, natomiast w dolnym łuku wykonano bonding. Dodatkowo, z uwagi na bruksizm Pacjent otrzymał ochronną szynę relaksacyjną.
Pełna rekonstrukcja uśmiechu – licówki, implanty i korony cyrkonowe
Pacjentka zgłosiła się do nas, ponieważ zależało jej na poprawie estetyki zębów. Omówiony na pierwszej wizycie plan leczenia obejmował zabiegi zachowawcze i endodontyczne, prace chirurgiczne oraz higienizację. Na czas leczenia Pacjentka otrzymała szynę termoformowalną typu most tymczasowy. W zakresie protetyki wykonano dla Pacjentki waxup oraz mockup, czyli model woskowy i model tymczasowy, które pomagają dobrać dla Pacjenta idealnie dopasowane licówki. Następnie Pacjentce wykonano licówki tymczasowe z kompozytu. Efektem końcowym było osadzenie porcelanowych licówek, mostu na implantach oraz pełnoceramicznych koron cyrkonowych. Okres leczenia wyniósł nieco ponad rok, a Pacjentka otrzymała swój wymarzony, piękny uśmiech.
Implanty w przednim odcinku – nowy uśmiech, nowa pewność siebie
Pacjent jako dziecko w wyniku urazu stracił dwa przednie zęby, które w tamtym czasie zostały replantowane. Podczas konsultacji w naszej klinice, okazało się, że doszło do resorpcji zewnętrznej korzeni. Nasi specjaliści przystąpili do usunięcia obu zębów, a następnie wszczepili Pacjentowi dwa implanty. Precyzja wykonania oraz niesamowity efekt końcowy pozwolił odzyskać naszemu Pacjentowi pewność siebie i będzie mógł cieszyć się pięknym uśmiechem przez długie lata.
Estetyczna rekonstrukcja uśmiechu. Korony pełnoceramiczne i modelowanie kompozytowe (bonding)
Kolejny przykład spektakularnej zmiany uśmiechu! Pacjent zgłosił się do nas, ponieważ chciał poprawić swój uśmiech. Po omówionym planie leczenia przystąpiono do wykonania prac zachowawczych oraz zabiegów chirurgicznych i higienizacji. W końcowym etapie na górnym łuku wykonano pełnoceramiczne korony LAVA, zaś na dolnym – odbudowy kompozytowe. Efekt przeszedł najśmielsze oczekiwania naszego kolejnego, szczęśliwego Pacjenta.
Jak osiągnąć harmonijny uśmiech? Poznaj efekty koron cyrkonowych i licówek Emax!
Pacjentka chciała poprawić wygląd swoich zębów. W pierwszym etapie przystąpiono do wykonania leczenia zachowawczego, kanałowego oraz zabiegu higienizacji. W kolejnym kroku, przed osadzeniem koron i licówek, Pacjentka została poddana zabiegowi wybielania zębów. Następnie wykonano prace protetyczne, których efektem końcowym było osadzenie pełnoceramicznych koron cyrkonowych oraz licówki porcelanowej emax. Nasi specjaliści wykonali świetną pracę, a nasza Pacjentka otrzymała nowy, piękny, śnieżnobiały uśmiech.
Metamorfoza uśmiechu dzięki protezie wspartej na implantach
Pacjentka zgłosiła się do gabinetu z chęcią estetycznej odbudowy górnych zębów. Nosząc do tej pory protezę ruchomą Pacjentka postanowiła zainwestować w komfort noszenia protezy połączony z efektem estetycznym. Zaproponowaliśmy protezę na implantach. W pierwszej kolejności przeprowadzony został zabieg implantacji. Następnie wykonano piękną metamorfozę estetyczną, dzięki której Pacjentka może się cieszyć naturalnie wyglądającą protezą na implantach w górnym łuku zębowym.
Zamknięcie diastemy z wykorzystaniem licówek pełnoceramicznych
Pacjentka zgłosiła się do naszej kliniki w celu korekty estetycznej górnych zębów przednich i chęci zlikwidowania widocznej szczeliny między „górnymi jedynkami”. Przeprowadzono analizę okluzji wraz z projektowaniem uśmiechu DSD i ustalono z Pacjentką szczegóły pracy protetycznej. Wykonano dla Pacjentki pełnoceramiczne licówki, które pozwoliły osiągnąć tą spektakularna metamorfozę.
Zaawansowana odbudowa protetyczna z wykorzystaniem koron i mostów cyrkonowych
Pacjent przyszedł do naszej kliniki chcąc wymienić stare, nieestetyczne korony i tym samym poprawić swój wygląd zębów. Pierwszy etap prac obejmował kontrolę jamy ustnej i uzębienia. Następnie przystąpiono do wykonania serii zabiegów higienizacji, leczenie zachowawcze oraz zabiegi endodontyczne i chirurgiczne. Na górnym łuku osadzono dwa cyrkonowe mosty na zębach trzonowych oraz pełnoceramiczne korony z cyrkonu. Prace na łuku dolnym obejmowały osadzenie koron cyrkonowych, w tym jedną na implancie oraz umieszczenie mostu na trzonowcach. Efekt końcowy – szczęśliwy Pacjent i spektakularny uśmiech!
Nowa odbudowa protetyczna przy zachowaniu naturalnych cech uśmiechu
Kolejna, piękna zmiana! Pacjentka zgłosiła się do nas, ponieważ zmagała się z problemem zużytej odbudowy protetycznej. Podczas pierwszej konsultacji omówiono plan leczenia i dostosowano do potrzeb Pacjentki, gdyż nie była zainteresowana implantacją. Wykonano zabiegi higienizacji. Następnie zęby, na których wcześniej znajdowały się mosty – usunięto, a na czas regeneracji dziąseł zapewniono Pacjentce protezę tymczasową. Finalnie wykonano protezy akrylowe na dolnym i górnym łuku, wraz z zachowaniem naturalnej diastemy, wedle życzenia Pacjentki, dzięki czemu uzyskano naturalny, piękny uśmiech.
Odbudowa estetyczna bez szlifowania – jak modelowanie kompozytowe (bonding) poprawia wygląd zdrowych zębów?
Pacjentka nie była zadowolona z dotychczasowego kształtu i koloru swoich zębów, dlatego zwróciła się do nas. Na pierwszej wizycie okazało się, że Pacjentka ma zdrowe zęby, więc od razu przystąpiono do pobrania skanów. Wykonano zabiegi higienizacji, a kolejną czynnością był wax up, czyli stworzenie woskowego modelu zębów, aby zobrazować Pacjentce proponowany wygląd uzębienia. Na koniec wykonano bonding na górnych i dolnych zębach z materiału kompozytowego. Zarówno Pacjentka jak i my byliśmy zachwyceni efektem!
Metamorfoza 20
Niesamowita przemiana! Pacjent zmagał się z przebarwieniami na zębach, spowodowanymi przyjmowaniem leków w dzieciństwie. Po konsultacji z naszymi specjalistami wdrożono spersonalizowany plan leczenia. Przystąpiono do zabiegów higienizacji oraz zabiegów zachowawczych. Następnie wykonano porcelanowe korony i licówki oraz uzupełniono implantami braki zębowe. Teraz nasz Pacjent będzie mógł cieszyć się wymarzonym uśmiechem przez długie lata!
Metamorfoza 21
Pacjent zgłosił się do gabinetu w celu przeprowadzenia kompleksowego leczenia jamy ustnej. Sytuacja wyjściowa w jamie ustnej Pacjenta była dość skomplikowana. Jednak dzięki zaangażowaniu naszych specjalistów, po kilku miesiącach Pacjent może cieszyć się nowym uśmiechem. Te efekt udało się osiągnąć dzięki pełnoceramicznym protezom na implantach zarówno w łuku górnym jak i dolnym. Osiągnięty efekt pozwala Pacjentowi nie tylko szerzej się uśmiechać, ale także poprawił się znacząco komfort żucia.
Metamorfoza 22
Pacjentka była bardzo niezadowolona z koloru i kształtu swoich zębów. Ze względu między innymi na implantację u Pacjentki zostały wykonane korony i licówki tymczasowe z materiału PMMA. Oczywiście całość zostanie wymieniona na porcelanę w odpowiednim dla Pacjentki momencie. Chcieliśmy natomiast pokazać, że w trakcie trwania leczenia, szczególnie takiego długo falowego można już cieszyć się jeszcze nie ostatecznym, ale pięknym zdrowym uśmiechem.
Metamorfoza 23
Pacjentka po wielu perturbacjach zdrowotnych trafiła pod skrzydła naszych specjalistów. Główną kwestią była poprawa estetyki zębów. U Pacjentki zastosowano pracę tymczasową na bazie koron PMMA, co pozwoli w tym przypadku na spokojne komfortowe dopasowanie pracy ostatecznej. Na zdjęciach widzimy zęby Pacjentki w wersji tymczasowej.
Metamorfoza 24
Pacjentka jest z nami już od kilku lat. Po wcześniej przeprowadzonych leczeniach przyszedł czas na estetykę. Pacjentce zależało na wyrównaniu kształtu i wielkości przednich zębów. Na górnych jedynkach i dwójkach wykonane zostały dla Pacjentki delikatne i naturalne licówki porcelanowe Noritake.
Metamorfoza 25
Liczne przebarwienia na zębach będące najprawdopodobniej konsekwencją stosowanych leków w dzieciństwie były zmorą dla Pacjentki. W górnym łuku zębowym zostały wykonane korony i licówki porcelanowe. Nowy uśmiech pozwala Pacjentce jeszcze bardziej cieszyć się życiem.
Metamorfoza 26
Pacjentka nie była w pełni zadowolona ze swoich zębów. Podobał jej się ogólnie kształt, ale nierówności i kolor zębów już nie. Pacjentka marzyła o naturalnym jasnym uśmiechu. A My lubimy spełniać marzenia. Z wykorzystaniem koron porcelanowych na zębach w łuku górnym zrealizowaliśmy marzenie Pacjentki.











































































