Twój koszyk

Miniimplanty

Miniimplanty- cena

Konsultacja ortodontyczna

300 zł

Wszczepienie miniimplantu

1000 zł

Rejestracja: 601 787 004

Opiekun Pacjenta: 730 787 004

Poniedziałek – czwartek: 9:00 – 20:00

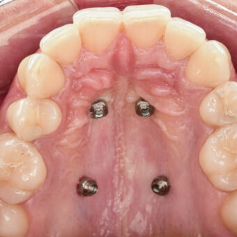
Skuteczna ortodoncja wymaga czasu. Na szczęście dzięki współczesnym, innowacyjnym metodom, które stosujemy w naszej klinice, czas potrzebny do dokonania skutecznej korekty ustawienia zębów można teraz znacznie skrócić. Jednym z takich rozwiązań są miniimplanty ortodontyczne. Te tymczasowe zakotwiczenia mają za zadanie utrzymać jeden lub więcej zębów w ich dotychczasowym położeniu, a równocześnie pomóc w przemieszczeniu innych w zamierzonym kierunku. Do tej pory tego typu procedury były często niemożliwe do przeprowadzenia lub wymagały zabiegów chirurgicznych. Teraz, dzięki miniimplantom, możemy zaprojektować system korekcyjny, który bardzo skutecznie i szybko ustawi zęby w z góry zaplanowanych pozycjach.

Podczas korekcji zgryzu, w szczęce pacjenta montujemy jeden lub więcej miniimplantów. Zabieg jest bardzo precyzyjny, bezbolesny (w miejscowym znieczuleniu komputerowym) i trwa zaledwie kilka chwil. Ze względu na mały rozmiar śruby, pacjenci zazwyczaj nie odczuwają żadnych dolegliwości czy dyskomfortu. Specjalna struktura miniimplantu zapobiega jego integracji z kością, dlatego – kiedy urządzenie spełni swoje zadanie – można je łatwo usunąć.

Miniimplanty pozwalają znacznie skrócić proces leczenia ortodontycznego. Dają też możliwość dokonywania drobnych korekt w pozycji niektórych zębów bez konieczności zakładania aparatu stałego na cały łuk zębowy.

Dlaczego warto wykonać zabieg wszczepienia miniimplantu:

  • Innowacyjne wsparcie w ortodoncji.
  • Maksymalne skrócenie czasu leczenia.
  • Bezbolesny zabieg.
  • Estetyczne i bardzo skuteczne rozwiązanie.
  • Możliwość korekcji jedynie kilku zębów bez konieczności zakładania pełnego aparatu.

Miniimplanty

Specjaliści odpowiedzialni:

Inne usługi

Protetyka na implantach

Protetyka na implantach

Implant zębowy z koroną porcelaową Korona na implancie Korona na implancie to tzw. "sztuczny ząb" który osadza się na wcześniej wszczepionym implancie zębowym. Zadaniem korony jest odtworzenie brakującego zęba. Główna zaletą jest jej trwałość i wysoka estetyka. Korona wykonana jest najczęściej z tlenku cyrkonu. Dzięki...

Zobacz więcej
Implanty zębów

Implanty zębów

Implant zębowy to niewielka tytanowa śruba zastępująca naturalny korzeń zęba, którą wszczepia się w kość szczęki lub żuchwy. W wyniku procesu osteointegracji, zrasta się z kością, w efekcie czego funkcjonuje i zachowuje się w identyczny sposób jak korzeń prawdziwego zęba. Wywierając odpowiedni nacisk na kość,...

Zobacz więcej
Korony na implancie

Korony na implancie

Korona porcelanowa to struktura protetyczna pozwalająca zrekonstruować zniszczony bądź całkowicie utracony ząb. Wygląda jak porcelanowa czapeczka, którą osadza się na własnym, wyleczonym zębie bądź na wcześniej wszczepionym implancie. Korona porcelanowa jest odporna na wszelakie przebarwienia i bardzo trwała. Jej kolor dostosowuje się do odcienia naturalnych...

Zobacz więcej
Korony porcelanowe

Korony porcelanowe

Korona porcelanowa to struktura protetyczna pozwalająca zrekonstruować zniszczony bądź całkowicie utracony ząb. Wygląda jak porcelanowa czapeczka, którą osadza się na własnym, wyleczonym zębie bądź na wcześniej wszczepionym implancie. Korona porcelanowa jest odporna na wszelakie przebarwienia i bardzo trwała. Jej kolor dostosowuje się do odcienia naturalnych...

Zobacz więcej
Licówki porcelanowe

Licówki porcelanowe

Licówki to ultracienkie, porcelanowe płatki dostosowane kształtem do profilów Twoich zębów. Naklejamy je na uszkodzone i przebarwione miejsca, przywracając Twojemu uśmiechowi naturalny i zdrowy wygląd. W naszej ofercie znajdują się także licówki kompozytowe, które nie wymagają procesu wstępnego przygotowania, więc cały zabieg możemy wykonać podczas...

Zobacz więcej

Leczenie w narkozie

Leczenie w narkozie - cena Konsultacja stomatologiczna (pakiet) 660 zł Konsultacja anestezjologiczna 500 zł Leczenie w narkozie 3000 zł / 1,5 h Pierwsza wizyta w placówce Pierwsza wizyta w naszej placówce to początek drogi do zdrowego i pięknego uśmiechu. Zobacz, jak przebiega proces - od...

Zobacz więcej
Bruksizm

Bruksizm

Jest to nasilająca się z wiekiem dysfunkcja układu skroniowo-żuchwowego związana z nienaturalnym napięciem mięśni i nieprawidłowym kontaktem górnych i dolnych zębów. Mówiąc bardziej po ludzku: Twoja szczęka jest osadzona na zawiasach. Jeżeli nie pracują one prawidłowo: są rozregulowane, niesymetryczne i działają w niepełnym zakresie –...

Zobacz więcej
Odbudowa kości

Odbudowa kości

Zanik kości najczęściej związany jest z długotrwałym posiadaniem luki zębowej po utraconym zębie. Wówczas kość, nie odczuwająca nacisków ze strony zęba, z czasem zanika i mamy do czynienia z regresem kośćca. W tej sytuacji, aby móc wszczepić implant zębowy, należy odbudować kość w obrębie żuchwy...

Zobacz więcej
Usuwanie zębów

Usuwanie zębów

Usuwanie zęba traktujemy jako ostateczność, gdy wszelkie metody odratowania go zawodzą. Każdą taką sytuację traktujemy indywidualnie, a decyzję podejmujemy dopiero po przeprowadzeniu wnikliwego wywiadu lekarskiego i diagnostyki. Zabieg usuwania zębów, jak również chirurgiczne usuwanie zębów, przeprowadzamy zawsze w znieczuleniu komputerowym, dzięki czemu minimalizujemy dyskomfort Pacjenta....

Zobacz więcej
Wszystkie usługi