Twój koszyk

Protezy zębowe

Proteza zębowa – cena

Konsultacja protetyczna

300 zł

Proteza akrylowa

wycena indywidualna

Proteza szkieletowa

wycena indywidualna

Rejestracja: 601 787 004

Opiekun Pacjenta: 730 787 004

Poniedziałek – czwartek: 9:00 – 20:00

Możliwość rozłożenia płatności na raty!

Więcej informacji otrzymasz w naszym gabinecie.

Jak tworzymy protezy, które zmieniają życie?

Czym jest nowoczesna proteza?

To nie tylko uzupełnienie brakujących zębów – to Twoja przepustka do swobodnego uśmiechu i komfortowego życia! Nasze protezy to mistrzowskie połączenie estetyki i funkcjonalności, które przywracają pewność siebie i radość z codziennych przyjemności. Wykonane z biokompatybilnych materiałów najnowszej generacji, zapewniają komfort noszenia i naturalny wygląd.

Jak wygląda u nas wykonanie protezy zębowej?

Rodzaje protez w Sobota House of Dentistry

Tradycyjne protezy zębowe

To klasyczne rozwiązanie dla osób, które utraciły większość lub wszystkie zęby. Rodzaje protez tradycyjnych:

  • Protezy akrylowe mogą być zarówno całkowite, jak i częściowe – są wykonane z akrylu i stosunkowo łatwe w modyfikacji.
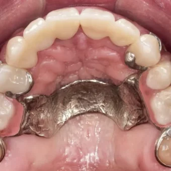
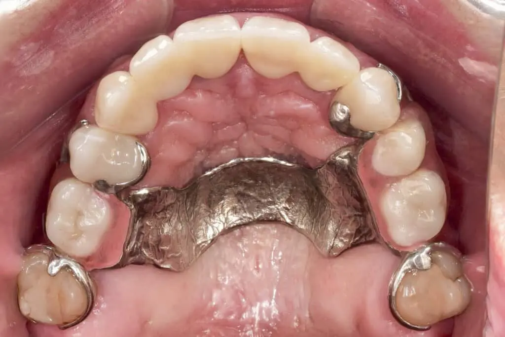
  • Protezy szkieletowe to protezy częściowe, ale na metalowym stelażu, co daje im większą trwałość i stabilność.

Zalety: przystępna cena, szybka adaptacja, naturalna estetyka.

Protezy na implantach

To nowoczesne rozwiązanie łączące zalety implantologii i protetyki. Proteza mocowana na implantach zapewnia stabilność, komfort i doskonałą funkcjonalność. Rodzaje protez na implantach:

  • All-on-6 – wykorzystuje 6 implantów, co zapewnia jeszcze większą stabilizację i trwałość, szczególnie w górnej szczęce.
  • All-on-4 – polega na osadzeniu protezy na 4 implantach, co jest idealnym rozwiązaniem dla Pacjentów z niewielką ilością kości.

Zalety: brak ryzyka przesuwania się protezy podczas mówienia i jedzenia, lepsze dopasowanie i naturalne odczucia, zapobieganie zanikowi kości szczęki i żuchwy.

Dla kogo jest All-on-4 / All-on-6?

  • Osób z całkowitym bezzębiem.
  • Pacjentów z wieloma brakami zębowymi, którzy nie chcą nosić ruchomej protezy.
  • Osób, które chcą szybkiej poprawy jakości życia i estetyki uśmiechu.
  • Pacjentów z zanikiem kości, dla których tradycyjne implanty mogłyby wymagać przeszczepu.

Czy proteza na implantach jest dla każdego?

Proteza na implantach to świetna alternatywa dla klasycznych protez ruchomych, zwłaszcza jeśli zależy Ci na komforcie i naturalnym wyglądzie uśmiechu. Istnieją jednak pewne przeciwwskazania, takie jak nieleczona osteoporoza, ciężkie choroby ogólnoustrojowe czy aktywne infekcje jamy ustnej – dlatego przed podjęciem decyzji konieczna jest konsultacja z implantologiem.

Przykładowe protezy akrylowe przygotowane dla naszych Pacjentów

Przykładowe protezy szkieletowe przygotowane dla naszych Pacjentów

Przykładowe protezy na zatrzaskach przygotowane dla naszych Pacjentów

Protezy zębowe

Specjaliści odpowiedzialni:

Inne usługi

Protetyka na implantach

Protetyka na implantach

Implant zębowy z koroną porcelaową Korona na implancie Korona na implancie to tzw. "sztuczny ząb" który osadza się na wcześniej wszczepionym implancie zębowym. Zadaniem korony jest odtworzenie brakującego zęba. Główna zaletą jest jej trwałość i wysoka estetyka. Korona wykonana jest najczęściej z tlenku cyrkonu. Dzięki...

Zobacz więcej
Implanty zębów

Implanty zębów

Implant zębowy to niewielka tytanowa śruba zastępująca naturalny korzeń zęba, którą wszczepia się w kość szczęki lub żuchwy. W wyniku procesu osteointegracji, zrasta się z kością, w efekcie czego funkcjonuje i zachowuje się w identyczny sposób jak korzeń prawdziwego zęba. Wywierając odpowiedni nacisk na kość,...

Zobacz więcej
Korony na implancie

Korony na implancie

Korona porcelanowa to struktura protetyczna pozwalająca zrekonstruować zniszczony bądź całkowicie utracony ząb. Wygląda jak porcelanowa czapeczka, którą osadza się na własnym, wyleczonym zębie bądź na wcześniej wszczepionym implancie. Korona porcelanowa jest odporna na wszelakie przebarwienia i bardzo trwała. Jej kolor dostosowuje się do odcienia naturalnych...

Zobacz więcej
Korony porcelanowe

Korony porcelanowe

Korona porcelanowa to struktura protetyczna pozwalająca zrekonstruować zniszczony bądź całkowicie utracony ząb. Wygląda jak porcelanowa czapeczka, którą osadza się na własnym, wyleczonym zębie bądź na wcześniej wszczepionym implancie. Korona porcelanowa jest odporna na wszelakie przebarwienia i bardzo trwała. Jej kolor dostosowuje się do odcienia naturalnych...

Zobacz więcej
Licówki porcelanowe

Licówki porcelanowe

Licówki to ultracienkie, porcelanowe płatki dostosowane kształtem do profilów Twoich zębów. Naklejamy je na uszkodzone i przebarwione miejsca, przywracając Twojemu uśmiechowi naturalny i zdrowy wygląd. W naszej ofercie znajdują się także licówki kompozytowe, które nie wymagają procesu wstępnego przygotowania, więc cały zabieg możemy wykonać podczas...

Zobacz więcej

Leczenie w narkozie

Leczenie w narkozie - cena Konsultacja stomatologiczna (pakiet) 660 zł Konsultacja anestezjologiczna 500 zł Leczenie w narkozie 3000 zł / 1,5 h Pierwsza wizyta w placówce Pierwsza wizyta w naszej placówce to początek drogi do zdrowego i pięknego uśmiechu. Zobacz, jak przebiega proces - od...

Zobacz więcej
Bruksizm

Bruksizm

Jest to nasilająca się z wiekiem dysfunkcja układu skroniowo-żuchwowego związana z nienaturalnym napięciem mięśni i nieprawidłowym kontaktem górnych i dolnych zębów. Mówiąc bardziej po ludzku: Twoja szczęka jest osadzona na zawiasach. Jeżeli nie pracują one prawidłowo: są rozregulowane, niesymetryczne i działają w niepełnym zakresie –...

Zobacz więcej
Odbudowa kości

Odbudowa kości

Zanik kości najczęściej związany jest z długotrwałym posiadaniem luki zębowej po utraconym zębie. Wówczas kość, nie odczuwająca nacisków ze strony zęba, z czasem zanika i mamy do czynienia z regresem kośćca. W tej sytuacji, aby móc wszczepić implant zębowy, należy odbudować kość w obrębie żuchwy...

Zobacz więcej
Usuwanie zębów

Usuwanie zębów

Usuwanie zęba traktujemy jako ostateczność, gdy wszelkie metody odratowania go zawodzą. Każdą taką sytuację traktujemy indywidualnie, a decyzję podejmujemy dopiero po przeprowadzeniu wnikliwego wywiadu lekarskiego i diagnostyki. Zabieg usuwania zębów, jak również chirurgiczne usuwanie zębów, przeprowadzamy zawsze w znieczuleniu komputerowym, dzięki czemu minimalizujemy dyskomfort Pacjenta....

Zobacz więcej
Wszystkie usługi