Twój koszyk

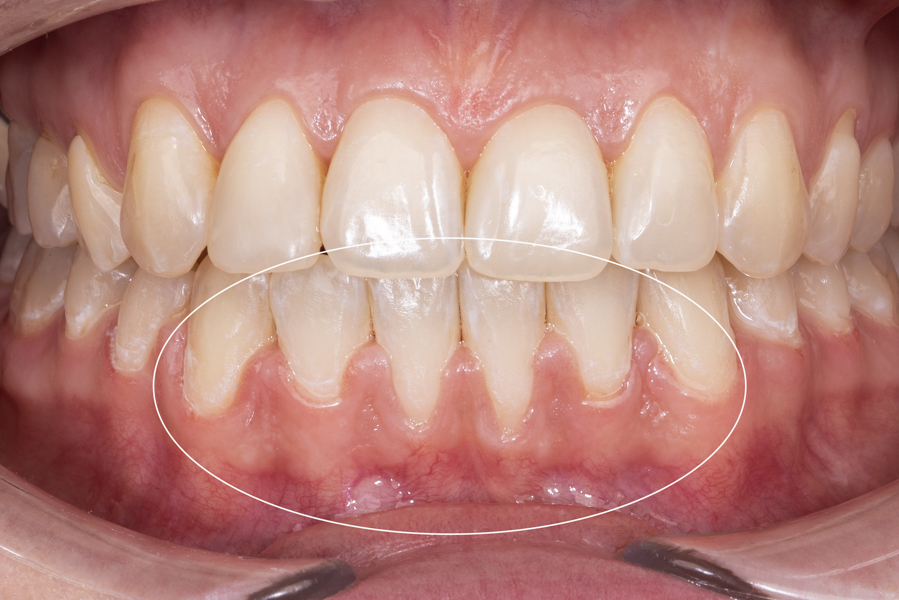
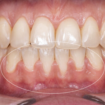
Recesja dziąsła

Recesja dziąsła

Konsultacja periodontologiczna

400 zł

Pokrycie recesji dziąsła
Pokrycie recesji z przeszczepem

3500 – 4300 zł

Rejestracja: 601 787 004

Opiekun Pacjenta: 730 787 004

Poniedziałek – czwartek: 9:00 – 20:00

Czy Twoje zęby ruszają się? Niepokoją Cię krwawiące dziąsła? Nie lekceważ tych objawów, to może być paradontoza!

Paradontoza to choroba bakteryjna, która przez długi czas nie daje o sobie znać. Często zdarza się też, że Pacjenci nie wiedzą o chorobie trwającej nawet kilka lat! Statystyki są niepokojące – w Polsce na paradontozę choruje aż 40-50% dorosłej populacji!

Nieleczona paradontoza jest bardzo niebezpiecznym schorzeniem i prowadzi do utraty zębów. Dlatego nigdy nie należy jej lekceważyć! Parodontoza powstaje w wyniku długotrwałego procesu zapalnego wywołanego przez drobnoustroje chorobotwórcze, które w naturalny sposób gromadzą się w miejscu zetknięcia dziąseł z zębami. Proces ten można jednak zatrzymać, a tym samym, skutecznie wyleczyć paradontozę.

Czy zaobserwowałeś, że Twoje dziąsła przesuwają się? Zauważyłeś odsłonięte korzenie zębowe?

Recesja dziąsła (inaczej zanik lub cofanie się dziąseł) to proces, który odsłania korzenie zębowe, a co za tym idzie, może powodować nadwrażliwość zębów, próchnicę oraz defekt estetyczny podczas mówienia i uśmiechu.  Wśród przyczyn recesji dziąsła można wymienić m.in.: wady zgryzu, genetyczną budowę dziąseł, chorobę okluzji (bruksizm) oraz nieumiejętne szczotkowanie zębów i nieprawidłową higienę.

Sposoby leczenia recesji dziąseł

W SOBOTA House Of Dentistry proces leczenia recesji dziąseł poprzedzony jest zawsze wizytą ogólną i bardzo dokładną diagnozą, mającą na celu ustalenie przyczyny problemu. W zależności od źródła recesji, wybieramy odpowiednią metodę leczenia. Recesję przykrywamy własnym dziąsłem Pacjenta. Zabieg jest bardzo skuteczny, miejsce przykrycia recesji szybko się goi i nie sprawia Pacjentowi dyskomfortu.

Zabiegi wykonywane są w znieczuleniu komputerowym. Podczas leczenia korzystamy wyłącznie ze sprawdzonych metod, a stosowane techniki i narzędzia mikrochirurgiczne pozwalają na atraumatyczne postępowanie z delikatnymi tkankami przyzębia.

Wszystkie zabiegi wykonywane są przez specjalistę, jednego z najlepszych stomatologów-chirurgów w Polsce, który zajmuje się leczeniem recesji dziąsłowych od wielu lat. Przeprowadził wiele skutecznych zabiegów odbudowujących prawidłową linię dziąseł, przywracając w ten sposób Pacjentom pewność uśmiechu.

Recesja dziąsła

Specjaliści odpowiedzialni:

Inne usługi

Protetyka na implantach

Protetyka na implantach

Implant zębowy z koroną porcelaową Korona na implancie Korona na implancie to tzw. "sztuczny ząb" który osadza się na wcześniej wszczepionym implancie zębowym. Zadaniem korony jest odtworzenie brakującego zęba. Główna zaletą jest jej trwałość i wysoka estetyka. Korona wykonana jest najczęściej z tlenku cyrkonu. Dzięki...

Zobacz więcej
Implanty zębów

Implanty zębów

Implant zębowy to niewielka tytanowa śruba zastępująca naturalny korzeń zęba, którą wszczepia się w kość szczęki lub żuchwy. W wyniku procesu osteointegracji, zrasta się z kością, w efekcie czego funkcjonuje i zachowuje się w identyczny sposób jak korzeń prawdziwego zęba. Wywierając odpowiedni nacisk na kość,...

Zobacz więcej
Korony na implancie

Korony na implancie

Korona porcelanowa to struktura protetyczna pozwalająca zrekonstruować zniszczony bądź całkowicie utracony ząb. Wygląda jak porcelanowa czapeczka, którą osadza się na własnym, wyleczonym zębie bądź na wcześniej wszczepionym implancie. Korona porcelanowa jest odporna na wszelakie przebarwienia i bardzo trwała. Jej kolor dostosowuje się do odcienia naturalnych...

Zobacz więcej
Korony porcelanowe

Korony porcelanowe

Korona porcelanowa to struktura protetyczna pozwalająca zrekonstruować zniszczony bądź całkowicie utracony ząb. Wygląda jak porcelanowa czapeczka, którą osadza się na własnym, wyleczonym zębie bądź na wcześniej wszczepionym implancie. Korona porcelanowa jest odporna na wszelakie przebarwienia i bardzo trwała. Jej kolor dostosowuje się do odcienia naturalnych...

Zobacz więcej
Licówki porcelanowe

Licówki porcelanowe

Licówki to ultracienkie, porcelanowe płatki dostosowane kształtem do profilów Twoich zębów. Naklejamy je na uszkodzone i przebarwione miejsca, przywracając Twojemu uśmiechowi naturalny i zdrowy wygląd. W naszej ofercie znajdują się także licówki kompozytowe, które nie wymagają procesu wstępnego przygotowania, więc cały zabieg możemy wykonać podczas...

Zobacz więcej

Leczenie w narkozie

Leczenie w narkozie - cena Konsultacja stomatologiczna (pakiet) 660 zł Konsultacja anestezjologiczna 500 zł Leczenie w narkozie 3000 zł / 1,5 h Pierwsza wizyta w placówce Pierwsza wizyta w naszej placówce to początek drogi do zdrowego i pięknego uśmiechu. Zobacz, jak przebiega proces - od...

Zobacz więcej
Bruksizm

Bruksizm

Jest to nasilająca się z wiekiem dysfunkcja układu skroniowo-żuchwowego związana z nienaturalnym napięciem mięśni i nieprawidłowym kontaktem górnych i dolnych zębów. Mówiąc bardziej po ludzku: Twoja szczęka jest osadzona na zawiasach. Jeżeli nie pracują one prawidłowo: są rozregulowane, niesymetryczne i działają w niepełnym zakresie –...

Zobacz więcej
Odbudowa kości

Odbudowa kości

Zanik kości najczęściej związany jest z długotrwałym posiadaniem luki zębowej po utraconym zębie. Wówczas kość, nie odczuwająca nacisków ze strony zęba, z czasem zanika i mamy do czynienia z regresem kośćca. W tej sytuacji, aby móc wszczepić implant zębowy, należy odbudować kość w obrębie żuchwy...

Zobacz więcej
Usuwanie zębów

Usuwanie zębów

Usuwanie zęba traktujemy jako ostateczność, gdy wszelkie metody odratowania go zawodzą. Każdą taką sytuację traktujemy indywidualnie, a decyzję podejmujemy dopiero po przeprowadzeniu wnikliwego wywiadu lekarskiego i diagnostyki. Zabieg usuwania zębów, jak również chirurgiczne usuwanie zębów, przeprowadzamy zawsze w znieczuleniu komputerowym, dzięki czemu minimalizujemy dyskomfort Pacjenta....

Zobacz więcej
Wszystkie usługi