Paradontoza
Paradontoza
Konsultacja periodontologiczna
400 zł
Kiretaż
SRP (kiretaż)
1600 zł / 1 łuk
Pokrycie recesji dziąsła
Pokrycie recesji z przeszczepem
3500 – 4300 zł
Czy Twoje zęby ruszają się? Niepokoją Cię krwawiące dziąsła? Nie lekceważ tych objawów, to może być paradontoza!
Paradontoza to choroba bakteryjna, która przez długi czas nie daje o sobie znać. Często zdarza się też, że Pacjenci nie wiedzą o chorobie trwającej nawet kilka lat! Statystyki są niepokojące – w Polsce na paradontozę choruje aż 40-50% dorosłej populacji!
Nieleczona paradontoza jest bardzo niebezpiecznym schorzeniem i prowadzi do utraty zębów. Dlatego nigdy nie należy jej lekceważyć! Parodontoza powstaje w wyniku długotrwałego procesu zapalnego wywołanego przez drobnoustroje chorobotwórcze, które w naturalny sposób gromadzą się w miejscu zetknięcia dziąseł z zębami. Proces ten można jednak zatrzymać, a tym samym, skutecznie wyleczyć paradontozę.
Jakie objawy mogą świadczyć o paradontozie?
- odsłonięcie szyjek zębowych i nadwrażliwość zębów,
- ruchomość zębów,
- krwawienie dziąseł,
- obrzęk dziąseł,
- niepokojący zapach z ust.
Jeżeli zauważyłeś któryś z objawów, jak najszybciej skonsultuj się z lekarzem stomatologiem. Wczesne wykrycie paradontozy jest podstawą skutecznego leczenia!
Leczenie paradontozy
W SOBOTA House Of Dentistry kompleksowo opiekujemy się Pacjentami i dbamy o zdrowie ich zębów. Zawsze przed przystąpieniem do właściwego leczenia, dokładnie diagnozujemy każdy przypadek i szukamy przyczyny powstania problemu. Stan zębów i kości sprawdzamy za pomocą zdjęcia rentgenowskiego panoramicznego i sondy dziąsłowej. Dzięki temu Pacjenci mogą czuć się bezpiecznie. Nasi lekarze mają bogate doświadczenie i specjalizują się w leczeniu paradontozy. W naszej klinice stosujemy tylko skuteczne, sprawdzone metody leczenia i udokumentowane techniki. Priorytetem jest dla nas zadowolenie i zdrowie Pacjentów, dlatego nie eksperymentujemy podczas leczenia!
W uzasadnionych przypadkach używamy preparatu Emdogain połączonego z dokładnym oczyszczaniem, polerowaniem powierzchni zębów i dziąseł z zakażonych tkanek. Zastosowanie preparatu Emdogain polega na naśladowaniu procesów biologicznych zachodzących podczas naturalnego rozwoju zęba. Emdogain odbudowuje zniszczone w wyniku paradontozy struktury kości.
Korzyści leczenia paradontozy w SOBOTA House Of Dentistry:
- skuteczność,
- regeneracja fizjologicznych struktur podporowych zęba,
- zachowanie pierwotnej budowy i funkcji zębów,
- brak dyskomfortu podczas leczenia,
- szybkie gojenie rany po zabiegu.
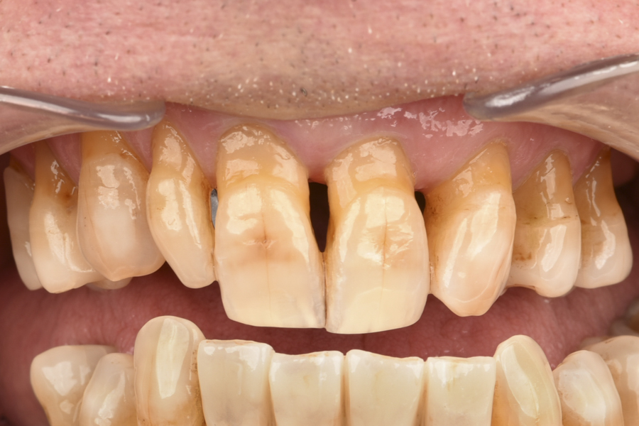
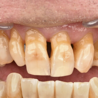
Przebieg leczenia paradontozy u naszych Pacjentów
Paradontoza
Specjaliści odpowiedzialni:
Masz pytania?
Zadzwoń do nas, Twój opiekun odpowie na wszystkie Twoje wątpliowści.

