Maksymalny efekt przy minimalnej ingerencji – metamorfoza od „piątki” do „piątki”
Metamorfoza uśmiechu pani Danuty
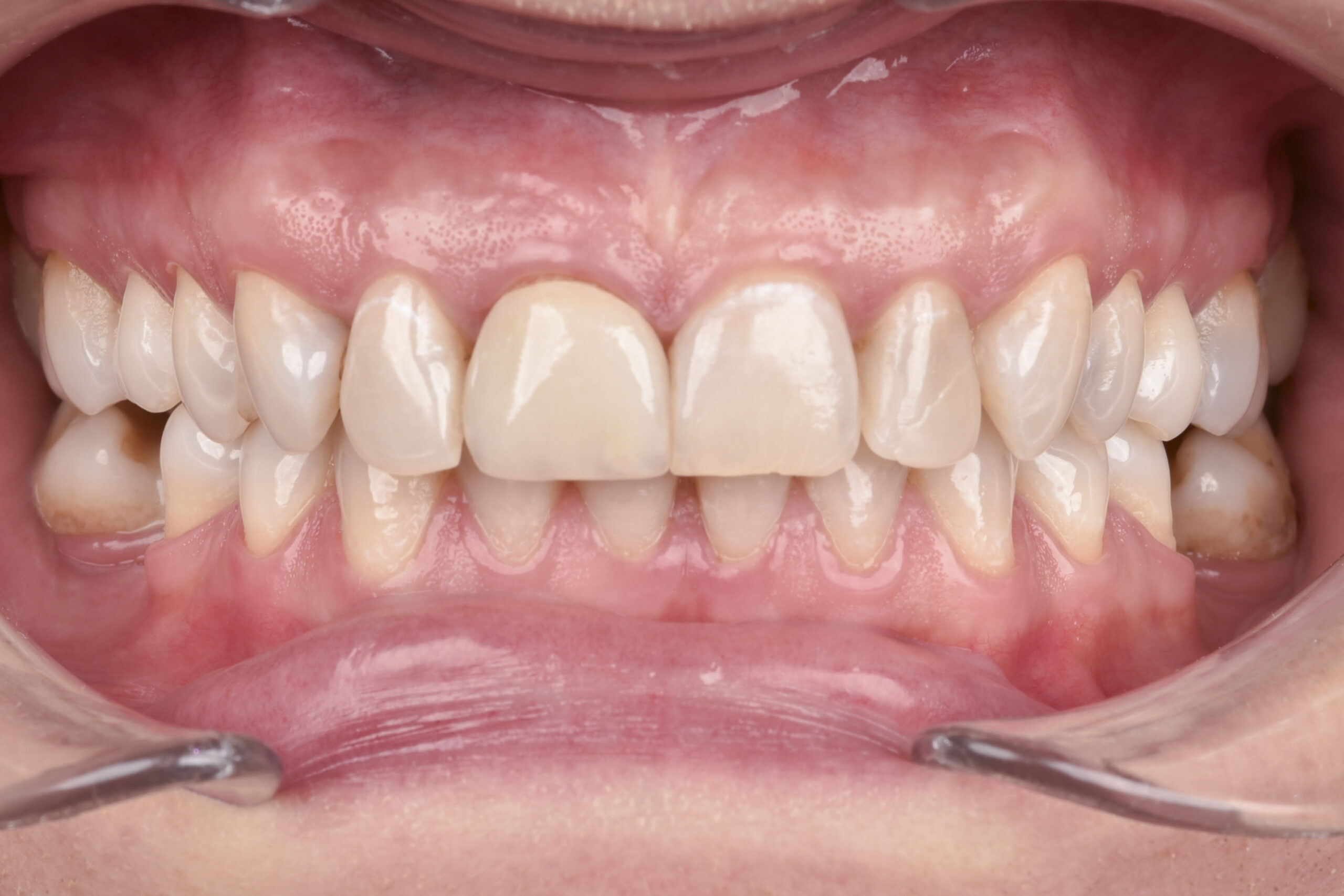
Pani Danuta trafiła do nas, ponieważ bardzo chciała poprawić estetykę górnych siekaczy. Jej celem było uzyskanie harmonijnego uśmiechu o naturalnym wyglądzie, przy jednoczesnym zachowaniu prawidłowej funkcji zębów.
Diagnostyka i planowanie
Podstawą leczenia była szczegółowa diagnostyka stomatologiczna. Wykonaliśmy dokładne badanie jamy ustnej, oceniliśmy stan zębów i opracowaliśmy indywidualny plan leczenia. Omówiliśmy wszystkie możliwości odbudowy estetycznej, tak aby końcowy efekt był spójny i jak najbardziej naturalny.
Etapy leczenia
Przygotowanie i higienizacja
– Leczenie zachowawcze zębów wymagających interwencji.
– Profesjonalna higienizacja połączona z instruktażem codziennej higieny domowej
Odbudowa protetyczna
Aby uzyskać spójny i harmonijny uśmiech, zdecydowaliśmy się odbudować cały odcinek od „piątki” do „piątki”. W górnym łuku zastosowaliśmy łącznie 10 uzupełnień protetycznych na bazie cyrkonu, dopasowanych indywidualnie do stanu każdego zęba:
5 pełnoceramicznych koron – wzmocniły zęby osłabione próchnicą oraz wymieniły wcześniejsze, mniej estetyczne uzupełnienia.
5 pełnoceramicznych licówek – poprawiły kształt i kolor zdrowych zębów, przy minimalnej ingerencji w ich naturalne tkanki.
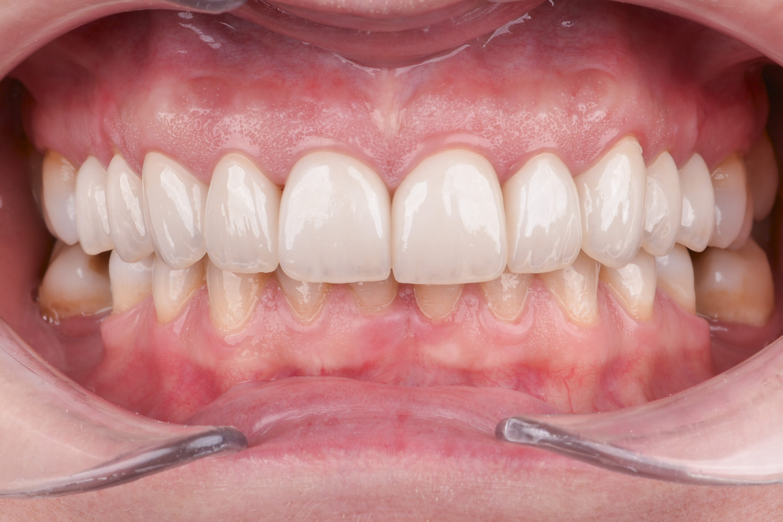
Efekt końcowy
Starannie zaplanowana odbudowa pozwoliła pacjentce uzyskać estetyczny uśmiech o bardzo naturalnym wyglądzie – na tym najbardziej jej zależało. Połączenie koron i licówek zapewniło wyrównanie koloru i kształtu zębów przy zachowaniu ich naturalnej struktury. Efekt końcowy to zdrowy, piękny uśmiech, który zwiększa komfort i pewność siebie pani Danuty.
Lekarz prowadzący: dr n.med. Małgorzata Gałczyńska-Rusin.

